
Radiofrequency has found its place as a precision tool in ENT, neurosurgery and microsurgery. Numerous studies1-7 show the advantages of the 4 MHz radiofrequency technology in comparison to other technologies. With the impedance-controlled CURIS© 4 MHz radiofrequency generator, Sutter offers the benefits of an advanced 4 MHz radiofrequency technology for a variety of applications.
Using the CURIS© 4 MHz radiofrequency generator energy is absorbed evenly inside the cells avoiding the energy to heat up the outer layer as it happens during conventional high frequency technology8. This even flow of energy inside the cells makes the CURIS© 4 MHz radiofrequency generator an optimal tool for both cutting and coagulation in precision electrosurgery.

With conventional electrosurgical units, the electromagnetic field concentrates between the cells and heats up only the outer layer. Illustration only.
Fig. 1a

With the CURIS© 4 MHz radiofrequency generator, cell membranes are conductive and the energy is absorbed evenly inside the cells. The results are highly focussed tissue effects. Illustration only.
Fig. 1b

“The CURIS® 4 MHz radiofrequency generator provides unparalleled precision to the neuro-surgeon seeking optimal control in neurosurgical cases. I have used the device for surgery in the cavernous sinus, resection of cavernous malformation from the motor cortex, minimally invasive clipping of anterior communicating artery aneurysm, and resection of acoustic neuroma. I found the ability to perform pinpoint coagulation with minimal thermal and electrical spread increasing the safety and efficacy of my operations.”
Ali Zomorodi, MD, Durham, NC (USA)
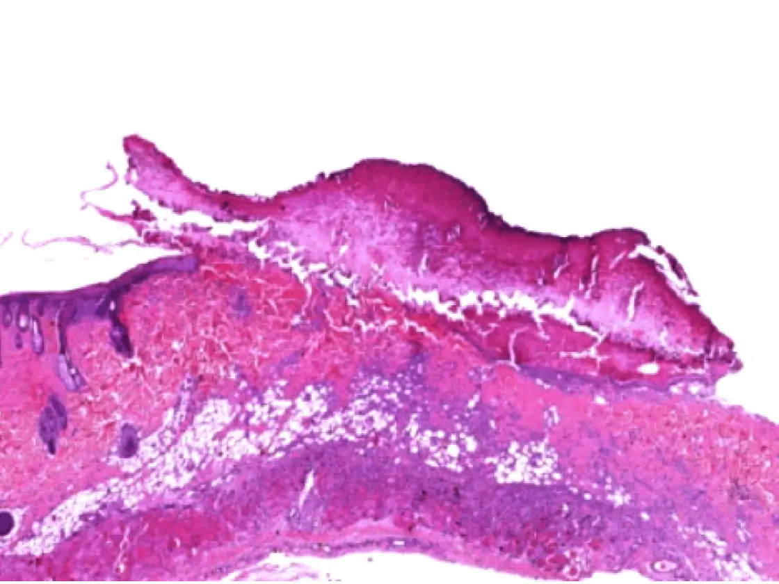
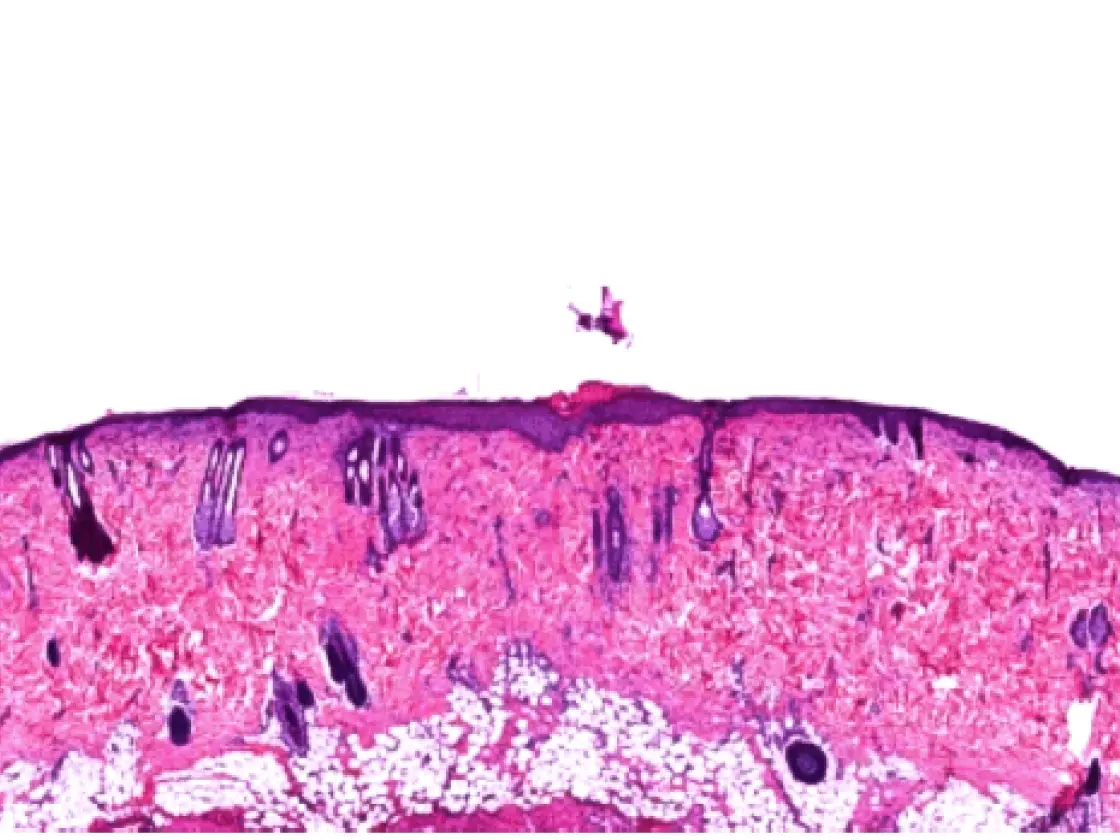
A comparison of the healing process of lesions in albino rats created by different technologies showed proven benefits of the 4 MHz radiofrequency technology in terms of wound healing. Using the impedancecontrolled CURIS© 4 MHz radiofrequency generator turned out to be more targeted and precise compared to conventional high frequency, preserving the basal membrane as well as the deep layers of the epithelium, thus causing less profound wounds.6 The histological assessment also showed that wound healing using the CURIS© 4 MHz radiofrequency generator is faster compared to conventional high frequency. Radiofrequency induced wounds show complete epithelialization after seven days in contrast to the lesions produced by high frequency which show abundant inflammation associated with focal suppurations (see fig. 2).

Histological aspects on day seven: comparing radiofrequency and conventional high frequency
Fig. 2

A study among 25 patients presenting with oral or oropharyngeal tumors showed that radiofrequency-assisted resected specimen using the CURIS© 4 MHz radiofrequency generator were better assessable than laser-assisted resected specimen. The impedance-controlled 4 MHz radiofrequency technology produced predominantly smooth resection margins and reduced the tissue resistance. Compared to CO2 laser and high frequency technology, the 4 MHz radiofrequency technology caused the narrowest lesions and coagulation zones.5
Further studies support the conclusion that the impedance-controlled 4 MHz radiofrequency technology produces less lateral thermal damage than other technologies:
It was shown that the CURIS 4 MHz radiofrequency generator achieved the best cutting width (see fig. 2), the smallest coagulation defects and the narrowest lesions at all energy levels compared to CO2 laser, YAG laser and high frequency technology. Moreover, it produced the smallest coagulation zone in different tissue types at various energy levels compared to the other technologies (see fig. 3a & 3b). Thus, the impedance-controlled 4 MHz radiofrequency technology preserves best the tumor-adjacent structures and improves pathological assessment.4

Comparing the average width of incisions produced by different instruments at different energy levels
Fig. 3
* Energy level

Comparing the coagulation zone of the instrument in the base of tongue at different energy levels
Fig. 3a

Comparing the coagulation zone of the instrument in muscle tissue at different energy levels
Fig. 3b
The precision and quality of coagulation results can be observed in the effects on the tissue. A study comparing bipolar coagulations on egg yolk showed that the impedance-controlled CURIS© 4 MHz radiofrequency generator achieves gentler effects as well as more reproducible results compared to conventional high frequency. With each of the two generators, 100 coagulations were performed for 1, 2 and 3 seconds, respectively. The results were evaluated by three blinded analysts on a visual analog scale for three criteria: edge sharpness, homogeneity and shape of the coagulation (see fig. 5 & 6).9

An example of poor shape of coagulation,
poor edge sharpness and poor homogeneity
Fig. 4

An example of good shape of coagulation,
good edge sharpness and good homogeneity
Fig. 5
The evaluations revealed a clear difference between the two generators. Overall, the impedance-controlled CURIS© 4 MHz radiofrequency generator produced better results in terms of edge sharpness, homogeneity and shape of coagulation compared to conventional high frequency. The coagulations produced by the CURIS© 4 MHz radiofrequency generator were evaluated in excellent range whereas the coagulations produced by the conventional high frequency generator were much less favorable (see fig. 7-9). Since all three criteria achieved better results using 4 MHz radiofrequency technology, it can be concluded that the impedance-controlled CURIS© 4 MHz radiofrequency generator leads to gentler tissue effects.9

Edge sharpness of coagulations at 2 seconds activation time
Fig. 6
X: Evaluation on a visual analog scale from 0 (“very poor”) to 10 (“excellent”)
Y: Number of evaluations

Homogeneity of coagulations at 2 seconds activation time
Fig. 7

Shape of coagulation at 2 seconds activation time
Fig. 8

“Using radiofrequency for dissection compared to other instruments is clearly superior. It shows better hemostasis, better handling, better cutting and it is an inexpensive treatment compared to laser.“
Clemens Heiser, MD, Munich (Germany)

Whether you’re making precise cuts or achieving reliable coagulation, our 4 MHz radiofrequency generators provide maximum control while minimizing thermal damage.
1 Bran, G M et al. Bipolar Radiofrequency Volumetric Tissue Reduction of Inferior Turbinates: Evaluation of Short-Term Efficacy in a Prospective, Randomized, Single-Blinded, Placebo-
Controlled Crossover Trial. Eur Arch Otorhinolaryngol, 2012.
2 Neumann, K et al. Behandlung der kindlichen symptomatischen Tonsillenhyperplasie - Radiofrequenztonsillotomie als Mittel der
Wahl. HNO-Abstractband, Dt HNO-Kongress München, 2009, p. 186.
3 Pang, K P Siow, J K. Sutter Bipolar Radiofrequency Volumetric Tissue Reduction of Palate for Snoring and Mild Obstructive
Sleep Apnoea: Is One Treatment Adequate? J Laryngology and Otology, V 123, 2009, p. 750-754.
4 Hoffmann TK et al. Comparative analysis of resection tools suited for transoral robot-assisted
surgery. Eur Arch Otorhinolaryngol 2014; 271:1207-13.
5 Hofauer B et al. Radiofrequency in Oral and oropharyngeal tumor surgery. Auris Nasur Larynx, 2020; 47(1):148 - 153.
6 Muehlfay G et al. A study of the type of lesions achieved by three electrosurgical methods and their way of healing. Rom J Morphol Embryol, 2015.
7 Vogt K et al. Comparison of the thermal effects of Coblation and Radiofrequency waves in a porcine turbinate model. Romanian Journal of Rhinology, 2018.
8 Holder, D S “Brief introduction to Bioimpedance” in: Electrical Impedance Tomography–Methods, History and Applications. IOP Publishing Ltd 2005.
9 Sutter Medizintechnik, data on file, 2019.
10 Sutter Medizintechnik, data on file, 2020.
11 Basterra J et al. Transoral Resection of Supraglottic Tumors Using Microelectrodes (54 Cases) EUR Arch Otorhinolaryngol, 2014; 271 (9): 2497-502.
Cookie approval
This website uses necessary cookies to ensure the operation of the website. Third parties do not analyze user behavior. Detailed information about the use of cookies can be found in our privacy policy.
Privacy settings
Here is an overview of all cookies use
Required Cookies
These cookies are needed to let the basic page functionallity work correctly.
Show Cookie Informationen
Hide Cookie Information
Google Tag Manager
Google Tag Manager is a tag management system (TMS) that allows us to update measurement codes and associated code fragments on our website.
| Provider: | |
| Cookiename: | _dc_gtm_* |
| Runtime: | 1 minute |
| Privacy source url: | https://policies.google.com/privacy?hl=en |
| Host: | www.googletagmanager.com |
Famigo Standort-Infografik
Integration of a frame on our job advertisement pages with information about the location.
| Provider: | FAMIGO GmbH |
| Privacy source url: | https://famigo.info/index.php/datenschutzerklaerung/ |
Cookies for Statistics
Statistic cookies anonymize your data and use it. These information will help us to learn, how the users are using our website.
Show Cookie Informationen
Hide Cookie Information
Google Analytics 4
Google Analytics is a web analytics service provided by Google that tracks and analyzes our website traffic. It provides insights into user behavior on our website and helps us to better understand our target audience and optimize our online activities.
| Cookiename: | _ga, _ga_* |
| Runtime: | 2 year |
| Privacy source url: | https://policies.google.com/privacy?hl=en |
| Host: | www.googletagmanager.com, www.google-analytics.com |
Cookies for Marketing
Marketing cookies from thrid parties will be used to show personal advertisment. They use them to track users outside of their own web page.
Show Cookie Informationen
Hide Cookie Information
Meta Pixel
Meta Pixel is a web analytics service offered by Meta that tracks and analyzes our website traffic. It provides insight into how users interact with our website and helps us understand our audience and optimize our online presence and ad targeting.
| Provider: | Meta |
| Cookiename: | _fbp, _fbc |
| Runtime: | session, 90 day |
| Privacy source url: | https://www.facebook.com/privacy/policy/ |
| Host: | connect.facebook.net |
Cookies for external Content
Content for Videoplatforms und Social Media Platforms will be disabled automaticly. To see content from external sources, you need to enable it in the cookie settings.
Show Cookie Informationen
Hide Cookie Information
Youtube
YouTube uses various cookies to manage user settings and track user interactions. It is also used to unlock YouTube content.
| Provider: | Google Ireland Limited, Gordon House, Barrow Street, Dublin 4, Ireland |
| Cookiename: | YSC; VISITOR_INFO1_LIVE; PREF |
| Runtime: | End of session; 6 months; 8 months |
| Privacy source url: | https://policies.google.com/privacy?hl=en |
| Host: | .youtube.com |
Vimeo
Vimeo uses various cookies to manage user settings and track user interactions. They are used to unlock Vimeo video content.
| Provider: | Vimeo.com, Inc., 555 West 18th Street, New York, New York 10011, USA |
| Cookiename: | player; vuid |
| Runtime: | 1 year (player); 2 years (vuid) |
| Privacy source url: | https://vimeo.com/privacy |
| Host: | .vimeo.com |